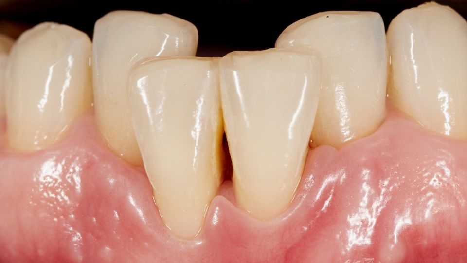
El apiñamiento dental
El apiñamiento dental es una de las malposiciones más comunes y es muy frecuente ver a niños con ortodoncia debido a esta razón.
Aunque se asocia normalmente a la infancia, lo cierto es que hay personas adultas que también presentan los dientes montados.
Tipos de apiñamiento dental
Se distinguen tres maneras de referirnos a este problema bucal:
-
Apiñamiento primario
Se da cuando los dientes montados son fruto de la herencia genética, habitualmente porque tiene algún antecedente familiar con esta malposición dentaria.
-
Apiñamiento secundario
Este tipo de malposición tiene su origen en malos hábitos dentales o en la pérdida prematura de los dientes de leche.
En el primer caso, costumbres como chuparse el dedo o usar mucho tiempo el chupete afecta negativamente a la correcta erupción de las piezas.
Pero, además, si las piezas temporales se caen antes de tiempo, pueden provocar que los dientes adyacentes se desplacen para ocupar su lugar, quitando espacio a la definitiva.
-
Apiñamiento terciario
En ocasiones es posible que la erupción de las muelas del juicio o cordales afecte al resto de piezas.
Generalmente, cuando estos molares no cuentan con el suficiente espacio como para salir quedan retenidos en el interior de la encía y es necesario extraerlas.
Tratamiento del apiñamiento dental
Hay distintos tipos de apiñamiento dental, que los odontólogos clasifican en grave, moderado o leve en función de la severidad de su caso de dientes mal colocados. En todos ellos, los dientes apiñados se corrigen mediante tratamientos de ortodoncia de cualquier tipo.
En el caso de los apiñamientos graves o severos, previamente puede ser necesaria alguna extracción dental o exodoncia, a fin de hacer espacio para colocar correctamente los demás dientes. Cuando esto ocurre, los odontólogos suelen elegir algún premolar o incisivo inferior.
Tanto en los casos de apiñamiento grave como en formas más leves del mismo problema, es estrictamente necesario que el paciente utilice un aparato de retención al finalizar su ortodoncia, si no quiere sufrir un caso de apiñamiento de recidiva del que ya hemos hablado.
Riesgos del apiñamiento dental
Además de los problemas de estética y los aspectos psicólogos que entrañan (menor autoestima y confianza en uno mismo) los apiñamientos dentales también presentan riesgos para la salud de dientes y encías.
Las personas con apiñamiento suelen tener más problemas de caries y enfermedades periodontales, ya que la higiene es más difícil y tiende a acumularse más placa y sarro que en unos dientes correctamente alineados.
Además, el esmalte de una persona con los dientes apiñados no se desgasta de forma regular, lo que puede, a la larga, hacer aún menos armónica la sonrisa y causar problemas en su articulación mandibular.
¿Se puede prevenir el apiñamiento?
Hay ocasiones en las que el apiñamiento no se puede evitar, sobre todo si se debe a causas hereditarias.
Del mismo modo, cuando un niño pierde sus piezas de leche, por ejemplo, debido a una extracción forzada por una infección, puede ser complicado evitar la incorrecta erupción de los dientes permanentes.
Sin embargo, sí que hay una serie de factores que pueden propiciar la aparición de dientes apiñados y que podemos evitar desde la infancia.
Dado que el apiñamiento secundario está motivado por costumbres desaconsejables, como padres enseñarles hábitos saludables y no está de más estar pendientes de ellas para modificar a tiempo estos comportamientos.
En este sentido, recomendamos:
- Realizar cuanto antes el cambio de biberón a vaso.
- Reducir, en la medida de lo posible, el uso del chupete.
- Evitar la succión del dedo pulgar.
Con el fin de detectar cualquier maloclusión a tiempo, la primera visita con el ortodoncista debería producirse a los 6 años de edad.
